|
IQon光谱CT。南溪山医院供图 中新网广西新闻5月14日电(李鑫)近日,广西首台彩色光谱CT(IQon光谱CT)在自治区南溪山医院投入使用,该台CT是全球首款以光谱探测为成像基础的彩色CT。 在目前疫情防控常态化的形势下方面,该台彩色光谱CT在该院的投入使用能够为更多人员实现快速精准的胸部CT筛查,微小病灶精准诊断,以相较传统CT降低30%~80%辐射剂量,真正实现低辐射“绿色”检查,切实保护患者检查安全。
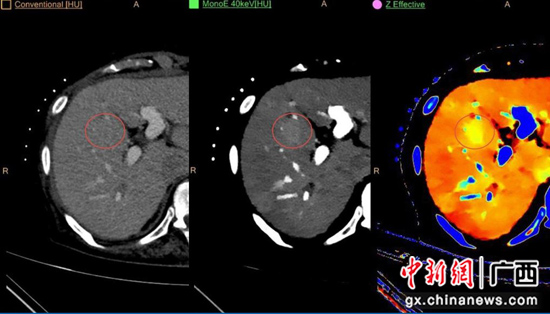
左图为常规图像,中图为单能量MonoE40KeV图,右图为原子序数图,通过单能量图和原子序数图发现的隐匿性病灶(红圈处)。南溪山医院供图 而该台CT在肿瘤病变诊断方面优势尤其明显,其低能级虚拟单能量图(virtual monoenergetic images,VMI或MonoE)能够增加异常强化病变与背景组织的对比度,有助于早期发现和诊断隐匿性病灶,提升肿瘤的良恶性鉴别能力,明确多发病灶的同源性及淋巴结转移的有无,优化肿瘤术前分期的评估,提高疗效评价准确性,协助临床实现个性化精准治疗。 此外,IQon光谱CT通过软件分析扫描部位所得到的单能量图、碘密度图、有效原子序数图等光谱数据可在骨肌系统(如关节痛风结晶、去除骨骼术后金属伪影)、神经系统(如急性脑卒中)、胸部(如低剂量CT肺癌早期筛查、肺栓塞)、泌尿系统(结石成分鉴别)、腹部及胃肠、心脑血管等系统疾病方面提供更多的诊断依据,与传统CT相比有无可比拟的优势,能明显提高疾病的早诊早治率。
左图为常规图像,右图为原子序数图。原子序数图可见胆囊阴性结石。南溪山医院供图 而且,该台CT配备的双层探测器结构能做到同时、同源、同向、同步的“四同”成像,不需要选择特定的能谱序列,所有扫描信息都是能量扫描,实现了从解剖成像到功能和分子水平成像的跨越。 CT从传统黑白影像时代迈入彩色多参数诊断新时代,这不仅意味着诊断数据的丰富,更使得原来只基于CT值的组织密度分析判断,变成更为精准的多参数、多维度分析模式,为CT诊断带来了颠覆性改变。此次新CT的投入使用,使得实力雄厚的南溪山医院医学影像科团队再添利器,将造福更多患者,真正实现一步到位的精准诊疗。 |

















